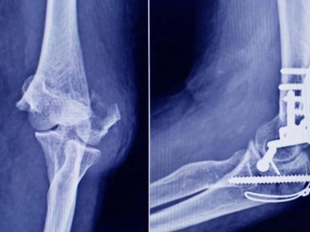
Uncategorized La ANMAT advierte que un tornillo utilizado en cirugías traumatológicas fue falsificado adminhace 3 mesesMenos de 1 min25,0 Vistas Lo encontraron en una ortopedia de San Miguel de Tucumán. El organismo gubernamental marcó las diferencias entre el producto original y el falsificado. Acciones: TE RECOMENDAMOS Uncategorized How to Watch ‘The Voice: Battle of Champions’ Online Without Cable for Free hace 2 meses Uncategorized Eclipses en 2026: cuándo serán, en qué signos y qué cambios energéticos marcarán hace 3 meses Uncategorized Jenni Fagan: Nueve pisos del siglo XX hace 3 meses Uncategorized Independiente: Quinteros está en alerta y no quiere saber nada ante los rumores de ofertas por Lomónaco hace 2 meses Uncategorized sombr, Olivia Rodrigo & Madonna: Which Is Your Favorite New Music Release This Week? Vote! hace 3 días
Uncategorized How to Watch ‘The Voice: Battle of Champions’ Online Without Cable for Free hace 2 meses
Uncategorized Eclipses en 2026: cuándo serán, en qué signos y qué cambios energéticos marcarán hace 3 meses
Uncategorized Independiente: Quinteros está en alerta y no quiere saber nada ante los rumores de ofertas por Lomónaco hace 2 meses
Uncategorized sombr, Olivia Rodrigo & Madonna: Which Is Your Favorite New Music Release This Week? Vote! hace 3 días